Create Your First Project
Start adding your projects to your portfolio. Click on "Manage Projects" to get started
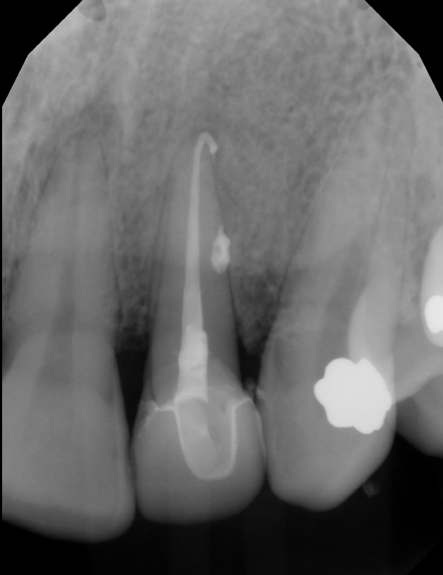
E-Max Crown #10
Project type
Fixed Prosthetics
Date
2025
A 61-year-old male presented following completion of root canal therapy on tooth #10 requiring definitive coronal restoration. An all-ceramic E-max crown was selected to provide optimal esthetics and strength within the anterior region.
Tooth preparation was completed with attention to proper reduction and margin design to support both structural durability and natural translucency. Final impressions were obtained and laboratory communication emphasized shade integration with adjacent dentition to ensure a harmonious result.
At delivery, the restoration demonstrated appropriate marginal fit, esthetics, and occlusal function. Minor chairside adjustments were performed to refine occlusion and ensure patient comfort. The final outcome restored both function and appearance, with the patient reporting satisfaction with the esthetic result.





